Kategoriler
UYGULAMALAR
İstanbul

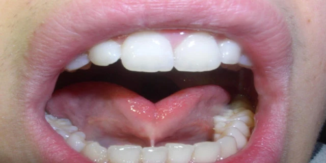
Sıklıkla görülen dil mantarı hastalığının sebebi yoğun olarak kullanılan antibiyotiklerdir. Daha çok dilin üst yüzeyinde beyaz lezyonlar şeklinde kendini gösteren bu hastalık ağız içinde bulunan 600 çeşit mikroorganizmadan sadece birisidir. Diğer taraftan dil mantarı sebepleri arasında tükürük (amilaz enzimi) salgısının yeterli düzeyde çalışmaması sebebiyle ağız kuruluğu oluşur ve bu da dil mantarına etken olabilmektedir.

Ağız kuruluğuna neden olabilecek nedenler arasında; kanser tedavileri, Alzheimer hastalığı, Sjögren sendromu, aşırı terleme, susuzluk, horlama, ağız açık uyumak ve kullanılan antidepresan ilaçlar sebep olmaktadır.
Dil mantarına şeker hastalığı da sebep olmaktadır. Özellikle şeker hastalarının kullandığı steroid ilaçlar, kansızlık çeken ve vitamin eksikliği olan kişilerde dil mantarı oluşmasına neden olmaktadır.
Hastalığın en çok görülen belirtileri arasında: Dil üzerinde beyaz pamuksu yapılar meydana gelerek dilin yüzeyinde plak oluşumuna neden olmaktadır.
Bununla birlikte:
gibi durumlar dil mantarı belirtilerine örnek gösterilebilir.
Dil üzerinde oluşan beyaz lezyonların temizlenmesi dilin üzerinde kanama meydana getirebildiği ve bu ağzın her tarafına mantarın yayılmasına neden olduğu için yapılması tavsiye edilmemektedir.
Dil mantarı tedavisinde: İlaçlı tedavi yöntemi kullanılır.
Diğer taraftan, mantarın yok edilmesi için bir diğer yöntem ise ağız bakımına gereken önemin verilmesidir.
Özellikle ağız ve diş sağlığı çerçevesinde diş fırçalanırken florürlü diş macunu kullanılması, tuzlu su ile gargara yapılması ve oksijenli su ile gün içinde birkaç kere ağzı çalkalamak dil mantarı oluşumunu önleyebilmektedir.

Dil yüzeyinde görülen lezyonlar, genel olarak iyi huyludur ve hızlı bir iyileşme gösterirler. Elbette bu tarz basit yaraların tedavisi için doğal yöntemler kullanabilirsiniz.
Fakat 15 gün içinde kendiliğinden geçmeyen dil yaralarının ve dil ağrılarının sebebini öğrenmek için mutlaka bir kulak burun boğaz uzmanı veya diş hekimi tarafından değerlendirilmesi gerekir.
Özellikle dil yüzeyinde bulunan lezyonların bu süre içinde dil kanserine yol açabileceğini unutmamak gerekir.
Dil yaraları, ağız ya da cilt yaraları gibi farklı türlerde ve şekillerde ortaya çıkabilir. En sık sık rastlanan türleri ise şöyledir:

Aftöz Ülser
Dilin yüzeyi beyaz, etrafı ise kırmızı ve ağrılı bir yara şeklinde olur.
Lökoplaki
Dil yüzeyi kirli beyaz zeminden hafif yüksek, üzeri düz veya pürtüklü lezyonlar şeklinde olur.
Eritroplaki
Lökoplakide tarif edilen lezyonun kırmızı renkli olanıdır.
Liken Planus
Dilden kabarık morumsu lezyonlardır.
gibi durumlar dil yarası belirtiler arasında gösterilmektedir.
Ağız ve dil yaralarını geçirmek için bazı doğal yöntemlerden sizlerde faydalanabilirsiniz.
gibi genellikle iyi huylu lezyonların oluşmasını engellediği bilinmektedir. Kısa sürede iyileşmeyen dil yaraları şikayetleriniz için mutlaka bir uzmana gitmeniz gerekir.
Ağız yanmasının belirli bir nedeni yoktur. Yanmanın birçok nedeni olabilir.

Ancak genelde ağız yanmasının nedenleri arasında:
Kısa süreli dil büyümelerinde aşağıdaki reçeteler kullanılır. 2-3 günde geçmeyen dil büyümesinde, doktora başvurmak gerekir.

Bitkisel tedavi için; 1 bardak suya bir avuç nar kabuğu konur. 15 dakika kaynatılıp süzülür. Suyuna 3 su bardağı şeftali suyu ilave edilip, gargara yapılır.
Dilin üzerinde görülen çatlakların nedenini belirlemek gerekir.

Bitkisel tedavi için: Havana bir tatlı kaşığı karanfil, 1 tatlı kaşığı nişadır ve bir tatlı kaşığı hardal tohumu konur. İyice dövülür, günde üç kere dilin altına üstüne sürülür.
Sinir sistemindeki bir bozukluktan dolayı, dil gücünün kaybolmasıdır. Doktor tarafından tedavi edilmesi gerekir.

Bitkisel tedavi için: 4 bardak suya 1 çorba kaşığı toz zencefil, 1 çorba kaşığı ufalanmış kekik ve bir tutam karabaş otu konur. 15 dakika kaynatılıp, süzülür. Gargara yapılır, her gün tekrarlanır.
Tıp dilinde Glossit denilen bu iltihaplanmanın nedeni, çürük dişler, dişeti iltihabı, sigara, çok sıcak veya çok soğuk şeyler yemeyi alışkanlık haline getirmiş olmaktır. İhmal etmemek gerekir.

Çünkü dil kanseri veya dil ülseri belirtisi de olabilir. Mutlaka doktora başvurmak gerekir. Yapılacak ilk iş, sigarayı bırakmak, çürük dişleri tedavi ettirmek ve kötü alışkanlıkları terk etmektir.
Bitkisel tedavi için: 4 bardak suya 1 avuç mersin yaprağı konur. 20 dakika kaynatılıp süzülür. Günde 3 kere gargara yapılır.
Dilde görülen; etrafı kırmızı, içi su dolu küçük kabarcıklar, dil ülserinin belirtisi olabilir. Derin ve sert kenarlı dil yaralarında, mutlaka doktora başvurmak gerekir. Diğer dil yaraları, hazımsızlık veya gripten kaynaklanabilir.

Bitkisel tedavi için: 4 bardak suya 200 gram meyan kökü konur. 20 dakika kaynatılıp süzülür. Günde 3 kere, gargara yapılır.