Kategoriler
UYGULAMALAR
İstanbul

İnsan sağlığı tıbbın konusu. Neredeyse her organımızın bir fakültesi var. Evet diş hekimliğinin de ayrı bir fakültesi var. Ve tıbbın diğer alanlarında olduğu gibi diş hastalıklarında da hastalık, yara veya teşhis için röntgenler kullanılmaktadır. Kullanılan röntgenler; diş apseleri, diş çürükleri, periodontal hastalıklar nedeniyle kemiğin zarar görmesi, çene kemiğinde ve çene kemiğindeki diğer bozukluklarda sıkışmış dişlerde ve kırılan dişlerde bozuklukların varlığı ve boyutunun teşhis edilebilmesi için kullanılması oldukça önemlidir.

En çok şikayet edilen konuların başında diş çürümeleri gelir. Diş çürüklerinde röntgen, var olan çürüğün, dişlerin veya diş eti çizgisi arkasına gizlendiğinde diş minesi sağlıklı görüntü oluştursa da röntgen dişteki durumu net olarak göstermektedir. Şayet diş hekimi dişlerinizde bir sorun olduğunu gözlemlerse sizden hemen dişlerinizin röntgenini isteyecektir. Diş röntgeni cihazları radyasyon miktarı çok azdır ve işlem bir dakika da hal edilebilmektedir. Diş çürüklerinin tespiti için günümüzde en sık kullanılan yöntem röntgen çekilmesidir.
(5).jpg)
Ağzın içine, dişin yanında küçük bir film yerleştirilir. Siz filmi, filmi saran kâğıdı aşağı doğru ısırarak tutarsınız, böylece röntgen aleti sorunlu dişi hedefler ve röntgen çekilir. Bir kaç dakika gibi kısa bir sürede filmin banyosundan sonra, diş hekiminiz yapılması gerekenleri ve tedavi yöntemini belirleyebilir.
.jpg)
Dişlerin tümünün röntgeni sadece teşhis amaçla çekilmeli, düzenli bir muayenenin amacı olmamalıdır. Böyle olması gereksiz yere fazla radyasyon almak demek olur. Özel durumlar dışında tüm ağızın röntgeni 5 yılda bir kereden fazla çekilmemelidir.
Röntgen çekimi sırasında, fazla radyasyon almanıza önlem olarak diş hekimi size, göğüsten bacağa doğru ön tarafınızı kaplayan bir kurşun önlük giydirebilir. Herkesin bu önlüğü giymesi gerekir fakat hamile ve emziren kadınlarda bu çok daha önemlidir.

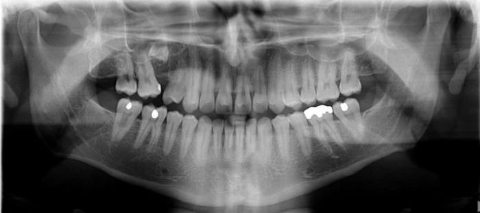
Panoramik röntgen: panoramik x-ray ya da ilk adı ile panorextir. Panoramik röntgendeki x-ışınlarının verdiği radyasyon oranı diğer yöntemlere göre daha azdır. Sonuç hızlı bir şekilde alınır. Bu yöntemde özellikle diş ağrıları olan hastalar için çok büyük zaman avantajı vardır. Panorex yani panoramik röntgen, diş doktorlarının yapacağı, diş implant ameliyatları planlamasında da çok gereklidir. Panoramik röntgen diş hekimine hastanın, burun bölgesini, sinüslerini, alt ve üst çene eklemlerini, dişlerini ve onu çevreleyen kemik yapısını gösterir. Panoramik röntgen filmi kistleri, tümörleri, kemik düzensizliklerini ve çok daha fazlasını ortaya çıkarmaktadır.

Dijital sefalometrik röntgen: röntgen cihazıyla ön, arka ve yan pozisyonlarda kafa kemikleri ve yumuşak dokular aynı filmde görüntülenmektedir. Bu yöntem çekim genelde ortognatik cerrahi gerektiren hastalardan alınmaktadır. Tedavi öncesi tedavi planının hazırlanmasında ve tedavi sırasında/sonrasında tedavinin etkilerini değerlendirebilmek amacıyla alınır.