Kategoriler
UYGULAMALAR
İstanbul

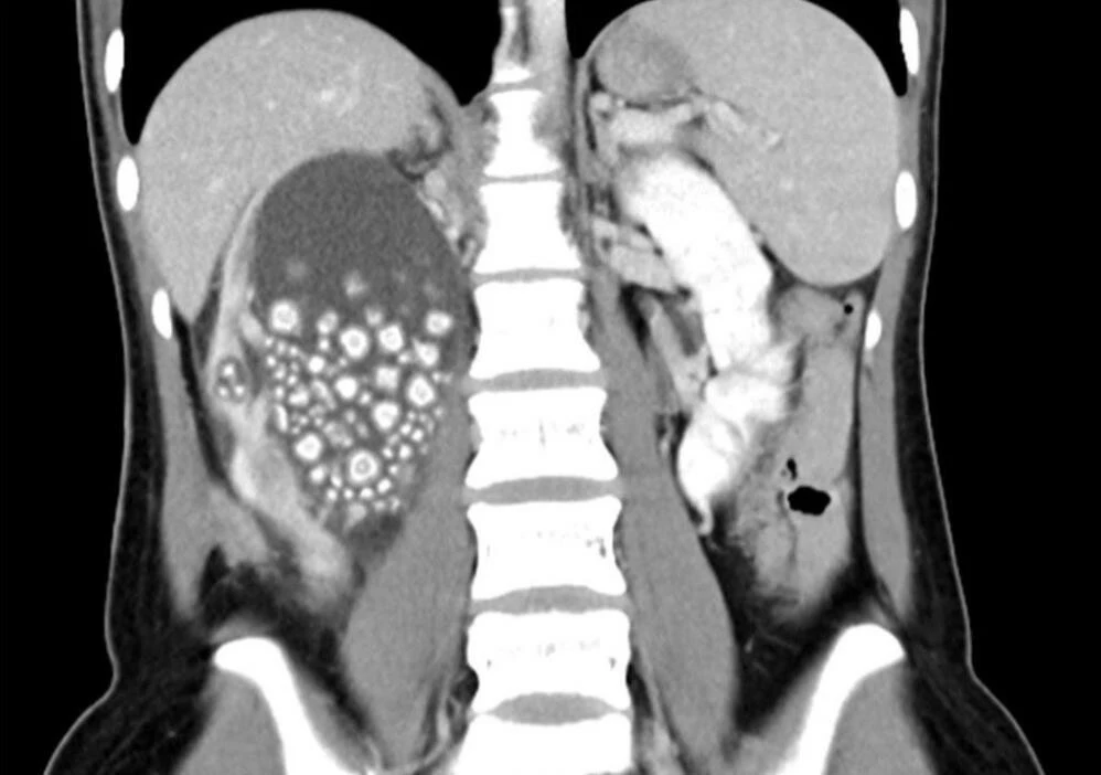
Tayvan'ın güneyinde bulunan Tainan şehrinde hayatını idame ettiren 20 yaşındaki Xiao Yu, sırt ağrısı şikayetiyle başvurduğu hastanede neye uğradığını şaşırdı. Hastanede yapılan tetkiklerin ardından Yu'ya doktorlar böbreklerinde çok sayıda taş olduğunu söylediler. Acil olarak ameliyata alınan genç kadının böbreklerinden 0.5-2 cm boyutlarında 300’den fazla böbrek taşı çıkarıldı.

Ameliyatın yapıldığı Chi Mei Hastanesi tarafından yapılan açıklamada, Yu’nun su içmeyi sevmediği ve sadece şekerli içecekler ile çay tükettiği belirtildi. Xiao Yu’nun beslenme alışkanlıklarının kötü olduğunu vurgulayan Chi Mei Hastanesi'ndeki doktorlar ise, Tayvanlılara daha sağlıklı gıdalar tüketmeleri ve bol bol su içmeleri konusunda uyarılarda bulundu.

Doktorları şaşkınlığa uğratan bu olay dış basında da kısa sürede yayıldı.
Öte yandan, Chi Mei Hastanesi Ürologu Lin Tsai-yang, Tayvan'daki erkeklerin yüzde 14,9'unda, kadınların ise yüzde 4,3’ünde böbrek taşı oluşma ihtimali bulunduğunu kaydetti.