Kategoriler
UYGULAMALAR
İstanbul

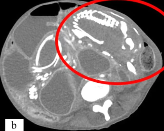
New York'tas hayatını idame ettiren 50 yaşındaki bir kadın, şiddetli karın ağrısı şikayetiyle doktora başvurdu. Doktorlar, incelemelerini tamamladıklarında ise oldukça ilginç bir durum ile karşı karşıya olduklarını fark ettiler. Kadının 9 yıl önce rahmi yerine bağırsaklarında bir cenin meydana geldi ve bu cenin zamanla taşa dönüştü. Taşlaşan cenin, kadının bağırsaklarını tıkadı ve zamanla vücut besinleri emmemeye başladı. Uzun süre besinsiz kalan vücut iflas etti ve kadın hayatını kaybetti.

Doktor Waseem Sous, kadının daha önce de şikayetleri olduğunu ama ameliyat olacağı korkusuyla tedavi olmayı reddettiğini söyledi. Dr. Sous, en son kadının aklının başına geldiği anda her şey için çok geç olduğunu söyledi.

Şu ana kadar 300 kez meydana gelen vakada, cenin rahimde değil bağırsaklarda bir süre geliştikten sonra ölüyor. Zamanla taşa dönüşen cenin, kişinin sağlığını ciddi şekilde tehlikeye atıp bazı durumlarda ölüme sebep oluyor.