Kategoriler
UYGULAMALAR
İstanbul

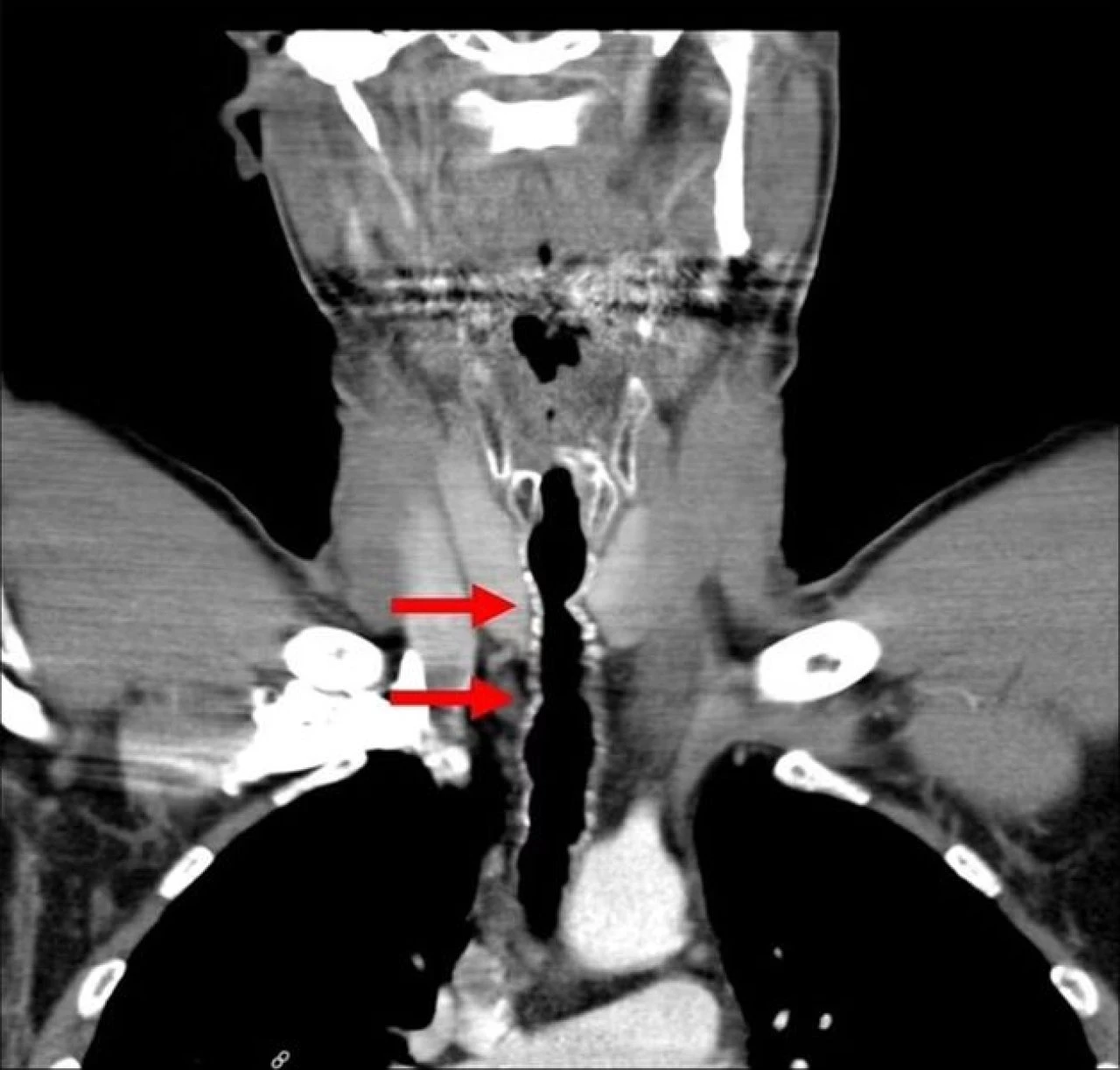
İngiltere'de 1990 yılında sigaraya başladığını söyleyen Avusturyalı adam, 52 yaşında ilginç bir hastalığa yakalandı. Ses kısıklığı, nefes almada zorluk ve kronik öksürük şikayetleriyle hastaneye başvuran adam, daha önce de kılını öksürdüğünü söyledi.
Sağlık görevlileri, solunum yollarına küçük bir kamera göndererek, incelemeye başladılar ve şaşırtıcı bir durumla karşı karşıya kaldılar. Adamın boğazının içinde siyah kılların çıktığı anlaşıldı. Doktorlar, kılları almayı başardılar faka bu geçici bir rahatlama sağladı.

Adamın boğazında çıkan kılların bakteriyle kaplandığı da ortaya çıkınca doktorlar, antibiyotik tedavisine başladılar. Doktorlar, boğazındaki kıllanmanın son derece nadir bir durum olduğunu, senelerce sigara içmesi nedeniyle böyle bir durumla karşılaştığını söylediler.

American Journal of Case Report'ta yazan yazarlar bu olayla ikinci kez karşılaştıklarını dile getirdiler. Boğazdaki kılların 6 ila 9 tane olduğu 5 santimetre boyunda olduğu da açıklandı.
The Sun'ın haberinde, İngiltere'de yaklaşık 6,4 milyon İngiliz'in sigara içtiği belirtilirken kanser vakalarının da arttığının altı çizildi. Fakat boğazında kıl çıkma olayının oldukça nadir rastlanan bir olay olduğu belirtildi.