Kategoriler
UYGULAMALAR
İstanbul

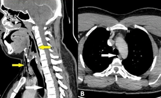
İskoçya'da ilginç bir olay meydana geldi. Hapşırma anına engel olmak isteyen adam, kendini tuttu ve boğazında yırtıkların oluşmasına neden oldu. Hapşırığını tutmasının ardından rahatsızlanan adamın boynunun her iki tarafı şişti, hareket edemeyecek hale geldi.

Hastaneye başvuran adama röntgen çekildiğinde doktorlar oldukça şaşırtıcı bir manzarayla karşı karşıya kaldılar. Adamın boğazında yırtıklar olduğu, akciğerlerinin arasındaki boşlukta da hava biriktiği anlaşıldı.

Doktorlar, hapşırmanın hava yollarındaki basıncı artırdığını, hapşırığı tutmaya çalışmanın ise basıncı 20 kat daha şiddetlendirdiği konusunda uyardı.