Kategoriler
UYGULAMALAR
İstanbul

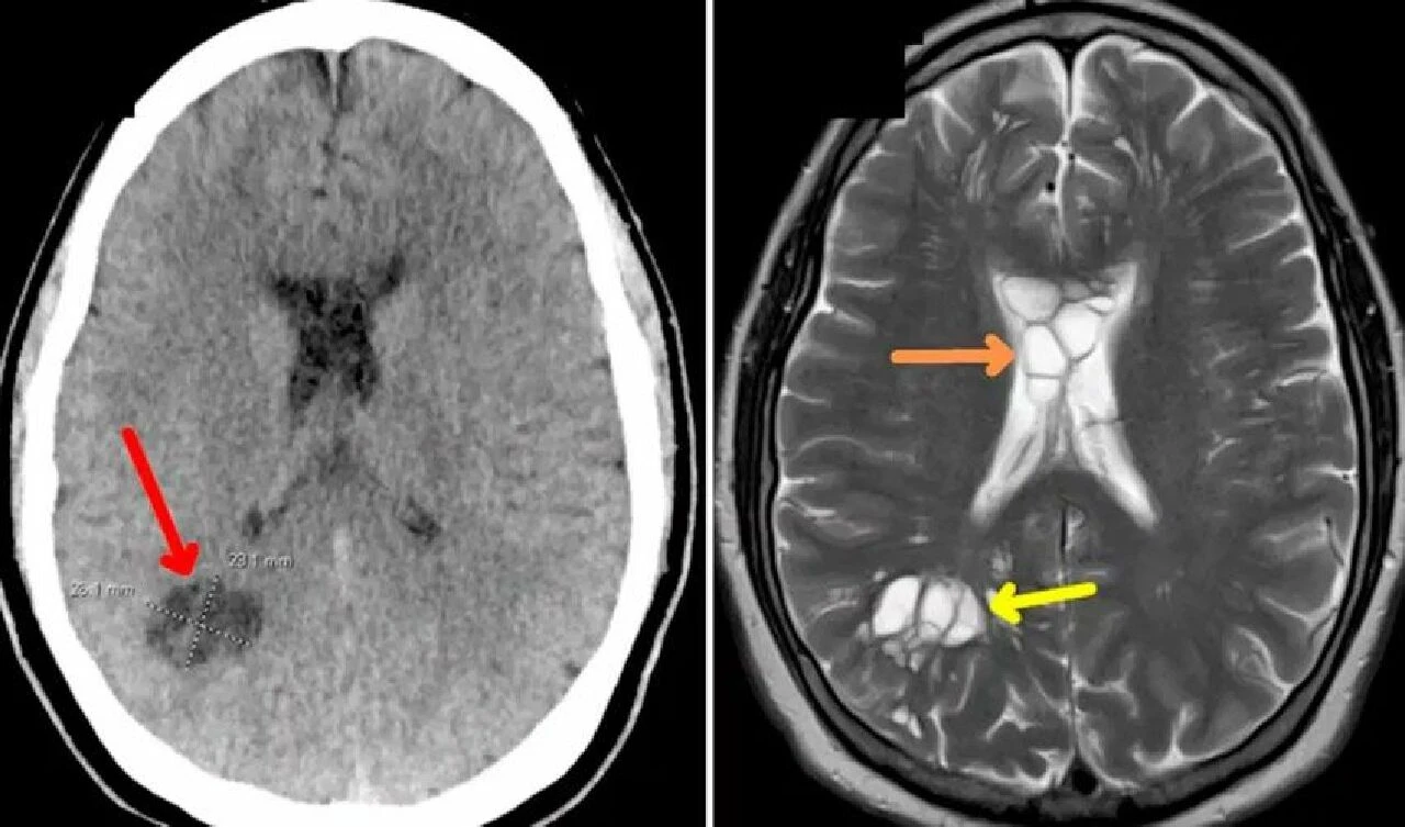
ABD'nin Florida eyaletinde yaşayan 52 yaşındaki adam, son zamanlarda sıklıkla baş ağrısı çektiğini ve ağrılarının migren gibi olduğu şikayetiyle doktora başvurdu. Her zaman kullandığı ilaçları kullanmasına rağmen ağrısına çözüm olmadığını söyleyen, adı açıklanmayan adamın beyninin her iki yanında çok sayıda kist olduğu tespit edildi. Doktorlar kistlerin ne olduğunu ve sebebini açıklamasıyla ise şoke oldu.
Doktorlar, kistlerin tenya yumurtaları olduğunu, tenyanın ise kafatasının altındaki dokuyu tahriş ettiğini söylediler. Hasta, yemek tercihlerinde az pişmiş eti sevdiğini söylemesiyle tenyanın vücuduna nasıl girdiği de ortaya çıkmış oldu.

Doktorlar, yaptıkları araştırmaların ardından adama nörosistiserkoz tanısını koydular. Bu tanı, tenyanın larva yumurtalarının vücudun çeşitli yerlerinde görülmesinin ardından konuldu. Uzmanlar, tenya parazitinin, hastanın az pişmiş eti yedikten sonra vücuduna girdiğini kan dolaşımı sayesinde beyne doğru ilerlediğini düşünüyorlar. Sağlık görevlileri, "Hastanın hayatı boyunca az pişmiş et tercih etmesi bu duruma yol açmış olabilir" dedi.
Hasta, yoğun bakıma alındı ve beynindeki şişliğin iyileşmesi için iki hafta boyunca tedavi gördü. The Mirror'ın haberine göre, hastayı tedavi eden doktorlar, bu durumdaki hastaların yaklaşık yüzde 80'inde nöbetlerin meydana geldiğini de kaydetti.

Öte yandan Ulusal Sağlık Enstitüleri'ne (NIH) göre, ABD'de her yıl 1.320 ila 5.050 arasında nörosistiserkozis vakası bulunmaktadır. ABD veya İngiltere gibi gelişmekte olan ülkelerdeki insanlarda nadirdir.
Araştırmacılar, "Amerika Birleşik Devletleri'nde enfekte bir etle karşılaşmak tarihsel olarak çok alışılmadık bir durum ve bizim durumumuzun halk sağlığına etkileri olabilir" ifadelerini kullandılar.