Kategoriler
UYGULAMALAR
İstanbul

Şimdilerde 32 yaşında olan Alman reality şov yıldızı Theresia Fischer, eski sevgili kurbanı oldu. Fischer, eski sevgilisinin 'daha uzun olmadığı sürece kendisini sevmeyeceğini, boy uzatma ameliyatı olursa her zaman seveceğini' söylemesi üzerine ameliyat olmaya karar verdi.

Fischer, eski sevgilisinin psikolojik baskısı yüzünden bir dizi acı verici operasyon geçirdi. İlk ameliyatını 2016 yılında olan genç kadın, ikincisini ise 2022 yılında oldu. Operasyondan önce 170 santimetre boyunda olan Fischer, şimdilerde 184 boyunda.

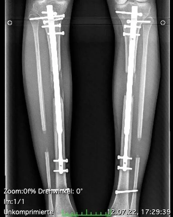
Fischer'ın son ameliyatında uyluk ve alt bacak kemiklerinin kesildi ve kaval kemiğine ayarlanabilir teleskopik çubuklar takıldı. Sağlık görevlileri, bacakları daha uzun olana kadar bu çubukları çevirdi. Haziran ayında, yeni kemik dokusunun büyümesini sağlayan teleskopik çelik çubukları çıkarmak için yapılan son sekizinci ameliyatın ardından Freiburg'daki Üniversite Hastanesi'nden ayrıldı. Bacaklarındaki kemikler her birkaç santim büyüdüğünde, cerrahlar daha fazla büyümeyi teşvik etmek için aralığı genişletiyorlardı.

8 ameliyatın ardından sağlığına yeniden kavuşup, sevgilisinden ayrılan Theresia Fischer, "Bu işi tamamen arkamda bıraktığım için mutluyum. Eski sevgilimin isteği üzerine oluşturulan bacaklarım artık tekrar düzgün yürüyebileceğim hale geldi.'' diyerek mutluluğunu dile getirdi.

Duygusal olarak hala üstesinden gelmesi gereken çok şey olduğunu söyleyen Ficsher, iyileşmek için güce sahip olduğunu da dile getirdi.