Kategoriler
UYGULAMALAR
İstanbul

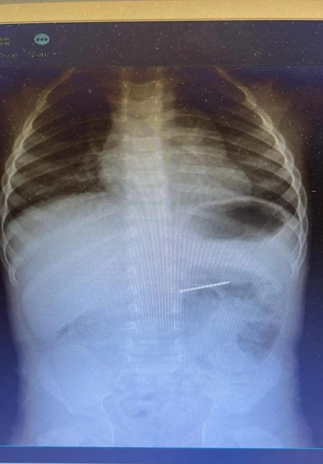
Burdur'un Bucak ilçesinde yaşayan 2 yaşındaki bir çocuk, yuttuğu çivi nedeniyle ailesi tarafından acil sağlık ekiplerine bildirildi. 112 Acil Servis aracılığıyla Süleyman Demirel Üniversitesi (SDÜ) Hastanesi'ne sevk edilen çocuk, Çocuk Gastroenteroloji ve Endoskopi Birimi'nde değerlendirmeye alındı.

Radyolojik inceleme sonucu yaklaşık 4 santimetre uzunluğundaki çivinin midedeki konumu tespit edildi ve hemen endoskopik müdahale yapıldı. Yapılan işlemle çivi, herhangi bir komplikasyona yol açmadan başarılı şekilde çıkarıldı. Hasta, kısa süreli gözlem amacıyla serviste takip altına alındı ve sağlık durumu stabil şekilde taburcu edildi.
Çocuk Sağlığı ve Hastalıkları Anabilim Dalı'ndan Uzman Dr. Abdülkerim Elmas, özellikle 6 ay ile 3 yaş arasındaki çocuklarda yabancı cisim yutma olaylarının sık görüldüğünü ve hayati tehlike oluşturabileceğini belirtti.

Dr. Elmas, "Pil, mıknatıs ve çivi gibi nesneler sindirim sistemine zarar verebilir. Aileler ev ortamında bu tür tehlikeli objeleri çocukların erişemeyeceği yerlerde tutmalı. Ani ağlama, yutma güçlüğü, kusma veya karın ağrısı gibi durumlarda acilen bir sağlık kuruluşuna başvurulmalıdır" dedi.

Yetkililer, endoskopik yöntemlerle yapılan erken müdahalenin hayati önem taşıdığını vurgulayarak, çocuk sağlığı alanındaki deneyimli ekipleriyle 7/24 hizmet verdiklerini bildirdi. Uzmanlar, ailelere yönelik uyarılarını yineleyerek evde çivi, vida, pil, iğne gibi tehlikeli cisimlerin çocuklardan uzak tutulması gerektiğini hatırlattı. Şüpheli bir durumda ise vakit kaybetmeden en yakın sağlık kuruluşuna başvurulması gerektiğinin altını çizdi.