Kategoriler
UYGULAMALAR
İstanbul

Eskişehir’de yaşayan 18 yaşındaki Tuğçe Tüfek, yıllar önce dolgu yaptırmak için gittiği bir hastanede çene bölgesinde kist olduğunu öğrendi. Başvurduğu birçok hastanede kistin doğuştan var olduğu ve tedavisinin yapılamayacağını söylenerek geri çevrildi. Eskişehir Osmangazi Üniversitesi Diş Hekimliği Fakültesi’ne gelen Tuğçe Tüfek, ilk kez olumlu dönüş alınca tedavi sürecine başladı.
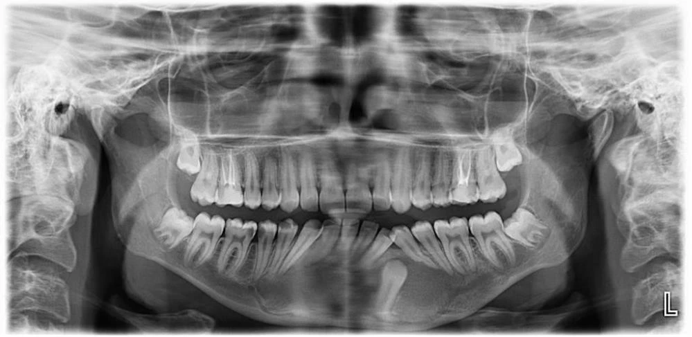
Çene bölgesinde sağdan sola uzanan 7,5 santimetrelik kist için iki aşamalı başlatılan tedavide ilk önce küçültme operasyonu yapıldı. Uzun soluklu takip ve kontrollerin ardından tedavinin üçüncü yılında küçülen kistin alınması için bıçak altına yatan Tuğçe Tüfek, başarılı bir operasyonla sağlığına kavuştu.
Eskişehir’de gittiği birçok tedavi merkezinden geri çevrilerek başka şehirlerdeki hastanelere yönlendirilen Tuğçe Tüfek, ESOGÜ Diş Hekimliği Fakültesi’nde tedavi sürecine girdi. Kist küçültme operasyonlarından sonra yapılan başarılı ameliyatla sağlığına kavuşan 18 yaşındaki Tüfek, “Çenemdeki kisti bir dolgu sayesinde öğrendim. Doğuştan olduğunu söylediler. Beni rahatsız etmiyordu. Eskişehir’de özel ve devlet olmak üzere birkaç hastane araştırdım. Yapamayacaklarını söyleyerek başka şehirlerdeki hastanelere yönlendirdiler. Osmangazi Üniversitesi Tıp Fakültesi’ni araştırdım. Hocalar ile görüştüm. Direk ameliyata başlanılmadı. İlk önce kisti küçülttüler. Üçüncü seneye girerken ameliyat oldum. İyice küçüldükten sonra ameliyat yaptılar. Ameliyatım da gayet başarılı geçti ve kontrollerim devam ediyor. Gayet memnunum. Diğer araştırdığım yerlere göre çok daha iyiydi. Araştırma hastanesi olduğu için de detaylıca incelediler. İçim çok rahattı. Başlarda ağrım falan hiç yoktu. Ameliyat sürecinde ve sonrasında da sorun yaşamadım. Şuanda da ağrım yok” ifadeleriyle memnuniyetini dile getirdi.

Gömülü bir dişle birlikte 7,5 santimetrelik kistin çene bölgesindeki sinirleri ve kemik yapısını etkilediğini belirten ESOGÜ Ağız, Diş ve Çene Cerrahisi Anabilim Dalı Öğretim Üyesi Doç. Dr. Nesrin Saruhan, hazırlıksız yapılacak ameliyatın büyük risk taşıdığını belirtti. Sinirlerde uyuşukluk ve çene kemiğinde kırık oluşmasını engellemek için kist küçültme ameliyatı yaptıklarını belirten Doç. Dr. Nesrin Saruhan, “Tuğçe bize geldiğinde 15 yaşındaydı. Alt çenesinde sağdan sola uzanan 7,5 santimetrelik oldukça büyük bir kisti vardı. Bununla ilgili birkaç merkeze gitmiş ama Eskişehir’de bu tedavinin yapılamayacağı bilgisi verilmiş. Kendisi kliniğimize geldiğinde önce radyolojik muayenelerimizi yaptık. Oldukça büyük bir kist vardı. Hem sinirle ilişkiliydi hem de alt çene kemiğini zayıflatmıştı. Bir de gömülü dişi vardı. İlk etapta parça alıp biyopsisini yaptık. Kist tanısını koyduktan sonra iki aşamalı tedavi planladık. Çünkü mevcut 7,5 santimetrelik kistle ameliyat yapsaydık hem sinirlerde uyuşukluk kalacaktı hem çene kemiğinde kırılma riski oluşacaktı hem de yaklaşık 10 tane dişini kaybetme riski ortaya çıkacaktı. Hastamızın yaşı da küçüktü” dedi.
Yapılan iki aşamalı tedaviyle kisti, küçülttükten sonra ameliyata hazır hale getirdiklerini belirten Doç. Dr. Nesrin Saruhan, uzun hazırlık sürecinin riskleri ortadan kaldırdığını söyledi.
Bu tarz durumlarda hastaların korkmadan biran önce tedavi için başvurması gerektiğini belirten Saruhan, şu ifadeleri kullandı:
“İlk etapta kisti küçültme ameliyatı yaptık. Ayda bir kontrollere geldi. Var olan 7,5 santimetrelik kisti oldukça küçük hale getirdik. Böylece kisti hem sinirden uzaklaştırdık hem de alt çenede yeni kemik oluşumunu bekledik. Sonrasında ise genel anestezi ile ameliyatı yaptık. Hem kisti çıkarttık hem de kiste neden olan gömülü dişi çıkarttık. Geri kalan dişlerinde de kayıp yaşamadık. Sinirle alakalı bir sorun da oluşmadı. Uyuşukluğu olmadan dişler ağızdaki yerinde bulunuyordu. En önemlisi de alt çenede hiçbir kırık olmadı ve kendiliğinden kemik oluşumu sağlandı. Kist küçültme tedavileri zaman alabiliyor ama sonuçta hasta daha başarılı bir yöntemle tedavi oluyor. Hem hekim hem de hasta için oldukça iyi bir tedavi protokolü olmuş oldu. Bu tip durumlarda hastaların korkmamaları ve ilerlemesini engellemek adına mutlaka yapılması gereken oral patolojileri yaptırması gerekiyor.”