Kategoriler
UYGULAMALAR
İstanbul

İngiltere'de yaşayan 32 yaşındaki Hintli kadın, sol gözünde ara ara ışık parlamaları olduğu şikayetiyle hastaneye başvurdu. Her iki gözünün çevresinde de herhangi bir ağrı ya da kızarıklık olmadığını ve ayrıca vücudunun diğer kısımlarında herhangi bir yaralanma ya da sorun yaşanmadığını söyledi.
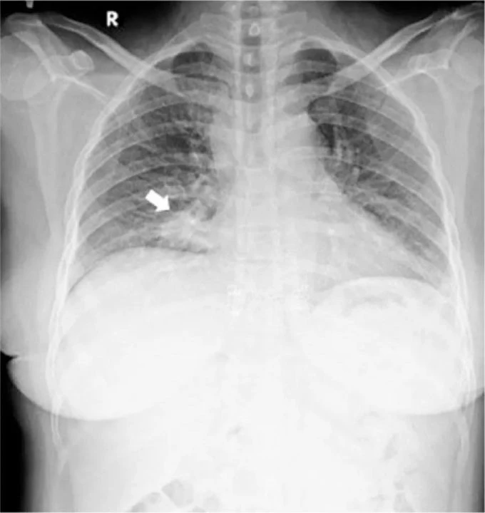
Kadının sol gözünde küçük büyümeler tespit edildi. Ayrıca kan testleri yapıldı ve kırmızı, beyaz kan hücresi sayımlarının normal aralıkta olduğu anlaşıldı. Doktorlar bir de göğüs röntgeni istedi ve akciğerinin sağ alt kısmında büyümeler tespit edildi.

Kanserden şüphelenen doktorlar, daha ileri tetkiklerde vücudundaki birçok organda tümör olduğunu fark ettiler. Kanser, metastaz yaparak her iki gözüne sıçradığı için bir gözünde körlüğe neden oldu.
Kadının hastalığı, Elsevier dergisi Radyoloji Vaka Raporlarında bildirildi. Sanjay Gandhi Tıp Bilimleri Yüksek Lisans Enstitüsü'nden Dr. Alok Pratap Singh, vakanın, doktorların görme sorunu olan hastalarda her zaman akciğer kanserini kontrol etmesi gerektiğini gösterdiğini söyledi.

Öte yandan uzmanlar, metastatik akciğer kanseri vakalarının yaklaşık yüzde 0,1 ila 7'sinde gözlerde tümörler geliştiğini belirtti.