Kategoriler
UYGULAMALAR
İstanbul

Susan Ash'in 24 yaşında anne olduktan sonra senelerdir var olan şikayetleri daha da arttı. Baş ağrıları, görme bozuklukları, ışık parlamaları gibi belirtileri migrene ve strese bağlayan Ash, doğumdan 3 ay sonra ise bir anda fenalaştı ve baygınlık geçirdi.

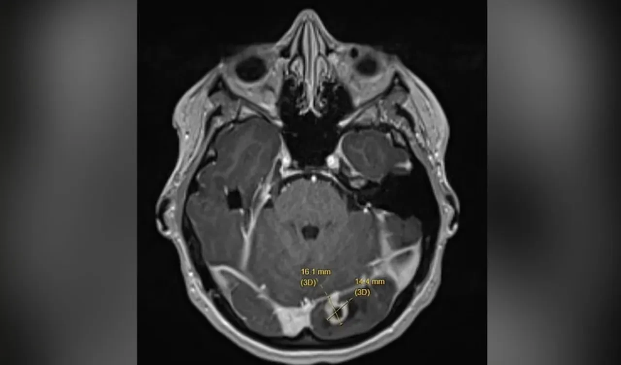
Acil olarak hastaneye kaldırılan Ash'e beyin tümörü teşhisi konuldu. Tümör, Ash'in sol oksipital lobunda bulunuyordu. Kanserli olmayan hücre, hamilelikte hormonel değişimlerin tümörü tetikleyerek nöbet başlatmış olabileceği düşünülüyor.

Dailymail'inm haberine göre Ash, migrene ve strese bağladığı şikayetlerin aslında gençliğinden beri var olduğunu fakat üzerine gitmediğini itiraf etti. Ameliyata alınan Ash'in sağ gözünde görme kaybı olabileceği açıklandı. Ayrıca nöbetler geçirmeye başladı ve araç kullanamaz hale geldi.

Susan Ash, şimdilerde bir yandan hastalıkla mücadele ediyor bir yandan da bu belirtilerin hafife alınmaması gerektiği konusunda uyarıda bulunarak, farkındalık oluşturmaya çalışıyor. Ash, yaşadıklarını, "Korku, kaygı, üzüntü ve umut bir arada… Ama asıl hedefim kimsenin bu süreçte yalnız olmadığını hissettirmek" sözleriyle tanımladı.
