Kategoriler
UYGULAMALAR
İstanbul

İrlanda'da hayatını idame ettiren sağlıklı bir yaşam süren 30 yaşındaki kadın, bir kliniğe giderek, kızamık, kabakulak ve kızamıkçık (MMR) aşısı olmak istediğini söyledi. Sağlık görevlisi, korkunç bir hata yaparak MMR aşısı yerine verem aşısına karşı geliştirilen Bacillus Calmette-Guerin (BCG) aşısını uyguladı. Her yıl yaklaşık 1,2 milyon ölüme yol açan, dünyanın en ölümcül enfeksiyonu olan verem aşısı enjekte edilen kadının hayatı bir andan itibaren kabusa döndü.

Genellikle bebeklere doğduktan sonra yapılan, herhangi olumsuz bir durumda ciddi yan etkilere yol açan aşı nedeniyle genç kadın 6 ay boyunca tedavi görmek zorunda kaldı.

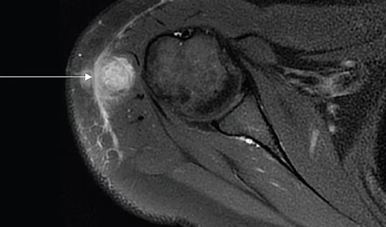
Yanlış yapılan aşının ardından kadının kolunda bir iltihaplı apse meydana geldi. Doktorlar ilk olarak bunun ciltteki bağ dokusu iltihabından kaynaklandığını düşündü. Fakat testler daha farklıydı. Testlere göre, apsenin vereme neden olan bakteri içerdiği ortaya çıktı.
Ayrıca BCG aşısının deri altına değil kas içine enjekte edildiği anlaşıldı. Dailymail'in haberine göre, yapılan bu ikinci hata da enfeksiyonun kontrol edilemez hale gelmesine ve yayılmasına neden oldu.
Üst üste yapılan hataların ardından kadının bağışıklık sistemi çöktü ve vücudunda ciddi enfeksiyonlar gelişti. 6 aylık bir tedavi sürecine alınan kadın verem ilaçları kullanmaya başladı. 6 ayın ardından ise tamamen iyileşerek sağlığına kavuştu.