Kategoriler
UYGULAMALAR
İstanbul

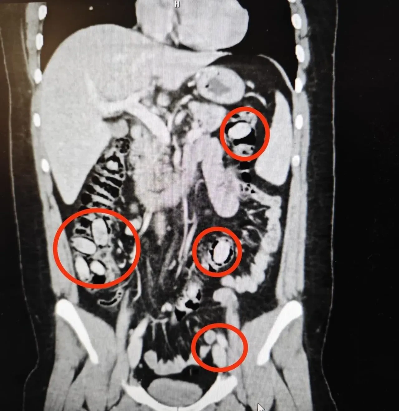
Yurtdışından Eskişehir'e gelen 25 yaşındaki S.A. isimli yabancı uyruklu şahsın kent girişindeki çevirme noktasında durumundan şüphelenilmesi üzerine hastanede yapılan detaylı tetkikler neticesinde yutmak suretiyle midesinde 44 kapsül metamfetamin maddesi taşıdığı anlaşıldı.

Cerrahi müdahaleyle söz konusu maddeler şahsın bedeninden çıkarıldı. Tedavisi akabinde şahıs tutuklandı. Yapılan titiz operasyon ile uyuşturucu maddelerin Eskişehir'de piyasaya sürülmeden ele geçirilmesi sağlandı.
