Kategoriler
                
                UYGULAMALAR
                    
                İstanbul
                    
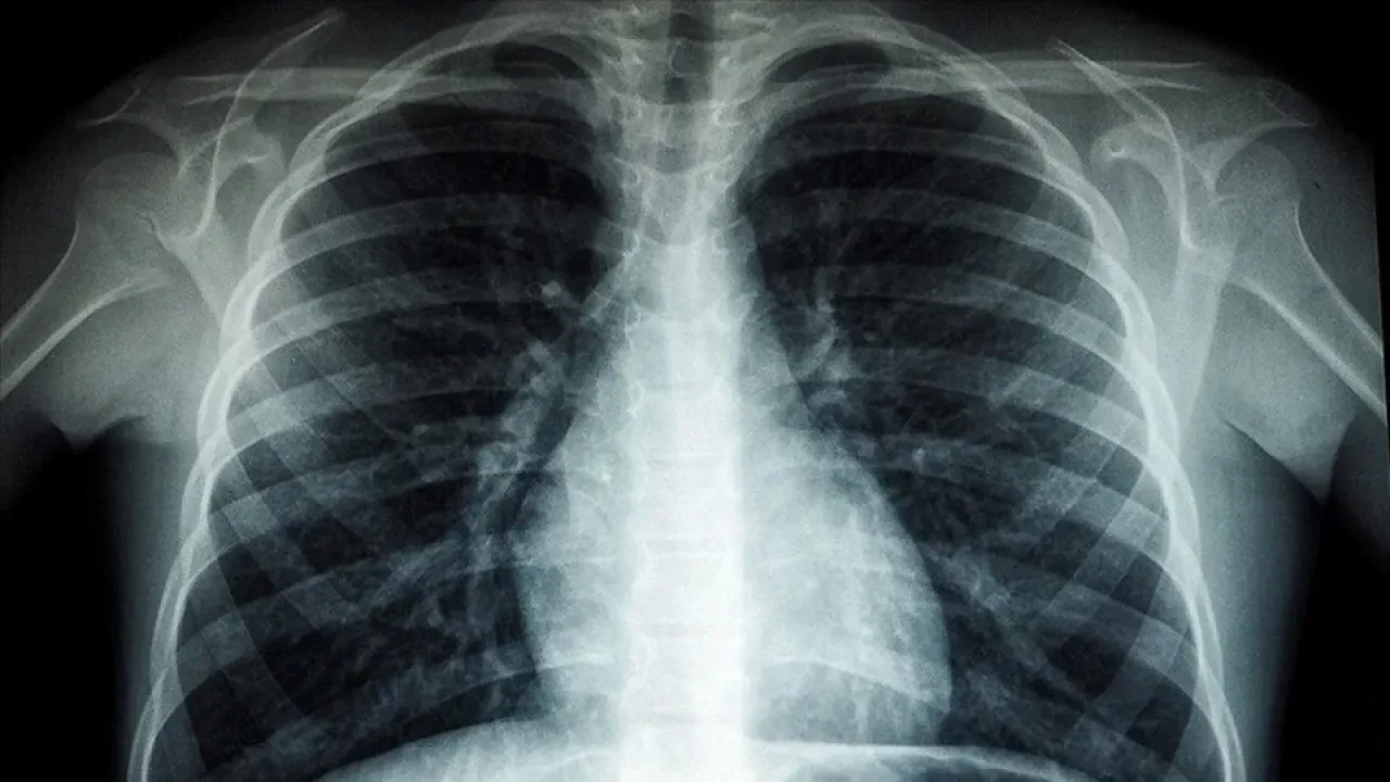
Küresel çaptaki yeni tahminlere göre, verem diğer adıyla tüberküloz bir kez daha dünyanın en ölümcül hastalığı oldu ve 2023 yılında yeni teşhis konan kişi sayısı 8 milyonu aştı.
Viktorya döneminde verem olarak bilinen bu ölümcül hastalığın erken evrelerinin soğuk algınlığı ya da gribe benzediği, ancak bulaştığı her altı kişiden birini öldürebileceği konusunda uyarılar artıyor.

Hastalık önlenebilir ve tedavi edilebilir - ancak teşhis ve tedaviye erişim dünya genelinde önemli farklılıklar göstermekte.
Bununla birlikte, tüberkülozun öldürmesi yıllar alabildiğinden, yeni kaydedilen artışın gerçek etkisi muhtemelen gelecekte bir zamana kadar hissedilmeyecek.

Tüberküloz, genellikle akciğerleri etkileyen bir bakterinin neden olduğu, hava yoluyla bulaşan bir hastalık ve başlıca risk faktörleri arasında yetersiz beslenme, HIV, alkol bağımlılığı, sigara kullanımı ve diyabet yer alır.

Veremin başlıca belirtileri ise şunlar: