Kategoriler
UYGULAMALAR
İstanbul

İngiltere'de yaşayan 39 yaşındaki Nikita Sterling, senede iki ya da 3 kez çok şiddetli baş ağrıları yaşıyordu. Üstelik bu ağrılar 18 yaşından beri vardı. Ayrıca görme bozukluğuna da sebep oluyordu.

Bir ortaokulda öğretmen olan Sterling, zamanla bu ağrıların her 3 hafta bir tekrarlamaya başladığını, bir veli toplantısı sırasında ise adeta konuşma yetisini kaybettiğini anlattı. Sterling, ''Söylemem gereken kelimeleri bulamadım, gerçekten utanç vericiydi'' diyerek yaşadıklarını anlattı.

Pratisyen hekim tarafından nöroloğa yönlendirilen Sterling'e aylar sonrası için randevu verildi. Bu sırada ise bayılmaya ve geceleri sıklıkla terlemeye başladı. Bu durum ailesini oldukça endişelendirdi.

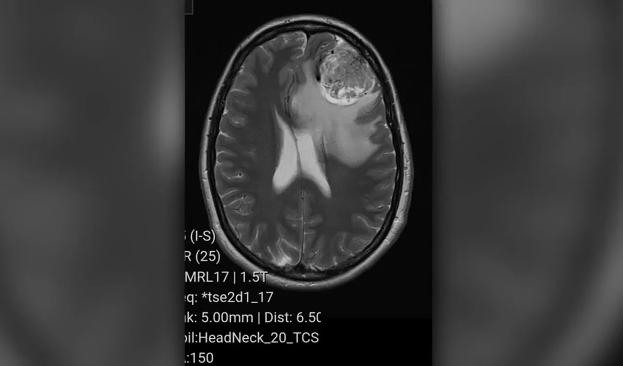
Ücretli olarak MRI taraması yaptıran Sterling, sonucu öğrendiğinde ise ''şoke oldum'' diyerek şaşkınlığını dile getirdi. Doktor, frontal lobunda 'büyük bir kitle' olduğunu yani kanserli olmayan bir beyin tümörü teşhis ettiğini aktardı.

Londra'daki King's College Hastanesi'ne sevk edilen Sterling, burada bir beyin cerrahının kendisine en iyi tedavi yolunun tümörün ameliyatla alınması olduğunu söylediğini anlattı. Sterling'in ameliyatı 4 saat sürdü. Doktorlar, tümörün 20 yıldır büyüyor olabileceğini söyledi.

The Sun'ın haberine göre Sterling, beyin tümörünün tamamen çıkarıldığını ve düzenli olarak taramalarının yapıldığını yakında da öğretmenliğe geri döneceğini aktardı.