Kategoriler
UYGULAMALAR
İstanbul
Çin'de görev yapan bir araştırma ekibi, ortopedi alanında devrim niteliği taşıyan bir buluşa imza attı. Global Times'ın haberine göre "Bone-02" adı verilen yeni biyolojik yapıştırıcı sayesinde normal şartlarda aylar süren kemik kırığı iyileşme süreci yalnızca birkaç dakikaya indirilebiliyor.
Kırıkların tedavisinde uzun süren iyileşme dönemleri ve metal plaklarla yapılan zorlu ameliyatlar bugüne kadar kaçınılmaz kabul ediliyordu. Ancak yeni geliştirilen yöntem, ortopedi pratiğinde köklü bir değişimin kapısını aralıyor. Geliştirilen yapıştırıcı, tek enjeksiyon yoluyla kemik parçalarını saniyeler içinde bir araya getirebiliyor.
Hangzhou'daki Sir Run Run Shaw Hastanesi ortopedi yardımcı şefi Lin Xianfeng, malzemenin kan açısından zengin bölgelerde bile hassas sabitleme sağlayabildiğini aktardı. Yapılan açıklamaya göre kırık parçalar yalnızca üç dakika içinde bütünleşiyor.

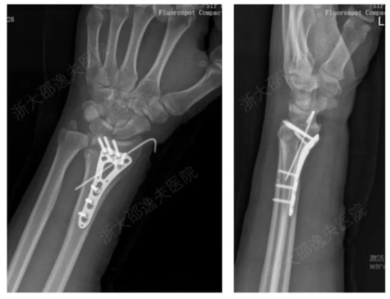
Yöntemin klinik kullanımına ilişkin ilk örneklerden biri bilekteki bir kırık üzerinde gerçekleştirildi. Cho Sun Daily'nin aktardığına göre hastaya yalnızca 3 santimetrelik bir kesi açılarak tek enjeksiyon yapıldı. Sadece üç dakika içinde kemik iyileşti.
Geleneksel cerrahide tercih edilen yöntem, metal plaka ve vidalarla onarım gerektiriyor. Ayrıca bir yıl sonra implantların çıkarılması için ikinci bir ameliyat şart koşuluyordu. Takip sürecinde elde edilen veriler de dikkat çekici. Üç aylık kontrol muayenesinde kırığın tamamen komplikasyonsuz iyileştiği bildirildi.

Araştırmacılar, yeni malzemenin geliştirilmesinde doğadan esinlendi. İlham kaynağı, deniz ekosisteminde zorlu koşullara rağmen yüzeylere güçlü şekilde tutunabilen istiridye oldu. Bu kabukluların salgıladığı biyolojik yapışkan nemli, tuzlu, ıslak ve hareketli ortamlarda basınca ve aşınmaya dirençli bağlar oluşturuyor.
Global Times, aynı prensipten hareket eden "Bone-02"nin laboratuvar testlerinde yaklaşık 181 kilogramın üzerinde bir bağlama kuvveti sergilediğini aktardı.

"Bone-02", kemik iyileşirken vücut tarafından doğal olarak emilebiliyor, böylece implantların çıkarılması için ikinci bir ameliyata gerek kalmıyor. İlk testler, yapıştırıcının kullanımının metal plaka prosedürlerine göre daha az enfeksiyon ürettiğini de gösterdi.
"Bone-02" adı verilen yapıştırıcının gelecekte yaygın kullanıma girip girmeyeceği henüz netleşmedi.