Kategoriler
UYGULAMALAR
İstanbul

Erzincan'da muayene olmak için dişçiye giden Faik Akın, hayatının şokunu yaşadı. 15 yıl önce damağına saplanan kurşun büyüklüğünde bir demir parçası olduğunu öğrenen Akın, yapılan ameliyatla sağlığına kavuştu.
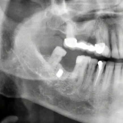
Erzincan’da yaşayan 63 yaşındaki Faik Akın, 15 yıl önce benzinli testereyle odun keserken testerenin zincirinin kopması sonucunda etrafa saçılan parçaların yüzüne isabet etmesi ile yaralandı. Hastaneye müracaat etmeyen Faik Akın’ın yüzüne gelen demir parçalardan biri damağında yıllarca kaldı. Diş tedavisi için hastaneye gelen Faik Akın’ı muayene eden Ağız ve Çene Cerrahı Dr. Öğretim Üyesi Yakup Gülnahar, hastanın röntgen filmine bakınca damağında bir nesne olduğunu belirledi.
Hastanın ameliyatını gerçekleştiren Dr. Yakup Gülnahar, 1 saatlik operasyonla damağa saplanan demiri çıkardı. 15 senedir yanağındaki demir parçasıyla yaşayan emekli memur Faik Akın, "15 sene önce benzinli hızar ile çalışırken hızarın zinciri koptu. Kopan parçalar saçıldı ve yanağıma çarptı. Yanağımda bir parça kalmış farkında olmadım. Diş tedavisi için hastaneye geldiğimde doktor fark etti. Başarılı bir ameliyat ile parçayı aldı. Şimdi gayet iyiyim" dedi.

Faik Akın'ın damağından kurşun büyüklüğünde demir parçası çıkarıldı.
Ameliyatı gerçekleştiren Dr. Yakup Gülnahar, “Hastanın muayenesinde rutin röntgen filmi istedik. Röntgenlerde hastanın yanağında bir cisim olduğunu anladım. Kendisine daha önce implant yaptırıp yaptırmadığını sordum. Kendisi implant yaptırmadığını söyledi. Bu sefer hastanın yanağında ne olabilir diye düşünürken hastanın 15 yıl önce benzinli odun testeresi ile çalışırken testerenin zincirinin koptuğunu ve etrafa saçılan parçalardan yanağına isabet ettiğini öğrendik. Hastamızı ameliyata aldık ve yanağındaki demir parçayı çıkardık. Hastamız da şu an gayet iyi bir durumda” şeklinde konuştu.
